Abstract

The dynamins are a family of ubiquitously expressed proteins with GTPase activity and are known for their role in membrane remodeling and intracellular trafficking. However, their exact role within various hematopoietic lineages is incompletely understood. In humans, most of the clinical cases with cytopenia in Charcot-Marie-Tooth (CMT) disease due to dynamin-2 mutations are associated with neutropenia, and CMT patients may suffer from impaired wound healing. Of interest, pregnancy notably worsens CMT disease, possibly due to hormonal changes. Antiprogesterone treatment was successfully given in a CMT rat model, and similar treatment is being considered for human CMT. We previously reported that inhibiting dynamin (DNM) activity impairs migration capability in mature megakaryocytes.
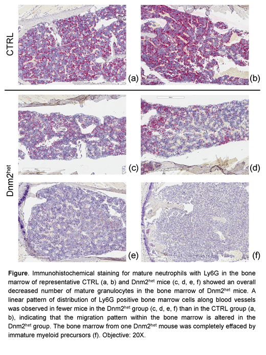
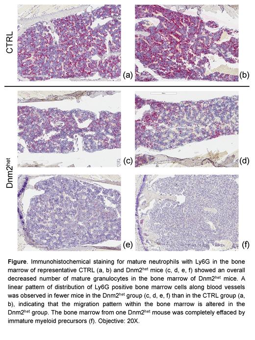
We obtained the conditional deletion of Dnm2 and targeted its deletion in hematopoietic tissues with the vav-cre murine strain. Homozygous deletion of Dnm2 in blood tissues appears embryonic lethal. None of the pups born showed a Vav-cre/Dnm-2 fl/fl genotype, whereas a third of the pups born had a Vav-cre/Dnm-2 fl/wt (Dnm2 het) genotype. Bone marrow cells from the heterozygous female mice (Dnm2 het) had 35% to 50% decreased Dnm2 expression in comparison with age-matched controls (CTRL). Evaluation of the complete blood counts demonstrated that Dnm2 het female mice developed leukopenia which was detected from 40 weeks of age (average granulocyte-monocyte counts: CTRL 532/mm3 vs. Dnm2 het 300/mm3; p=0.0164). Neutropenia was unequivocal at 65 weeks of age (average neutrophil counts, CTRL 700/mm3 vs. Dnm2 het 343/mm3, p=0.016). Dnm2 het showed a trend for higher platelet counts than controls, but this was non-statistically significant. Further analysis of hematopoietic lineage maturation by flow cytometry indicated that lineage-negative cells and granulocyte-monocyte progenitors were decreased in Dnm2 het mice (average bone marrow lineage-negative cells: CTRL 2.8x10E6 vs. Dnm2 het 1.97x10E6, p =0.0056; average granulocyte-monocyte progenitors: CTRL 1.35x10E6 vs. Dnm2 het 0.85x10e6, p=0.01), along with a relative increase of common lymphoid progenitors and of megakaryocyte/erythrocyte progenitors in the bone marrow. Immunohistochemical staining for mature neutrophils with Ly6G showed an overall decreased number of mature granulocytes in the bone marrow of Dnm2 het mice (average Ly6G-positive cells: CTRL 20% vs. Dnm2 het 29%, p=0.0026). A linear pattern of distribution of Ly6G positive bone marrow cells along blood vessels was observed in fewer mice in the Dnm2 het group than in the CTRL group (25% vs. 59%, p=0.02), indicating that the migration pattern within the bone marrow is altered in the Dnm2 het group (see Figure). In addition, Dnm2 het mice developed splenomegaly (average spleen weight: Dnm2 het 146 mg vs. CTRL 99 mg, p=0.006), which was secondary to a marked florid reactive germinal center hyperplasia. Some of the Dnm2 het mice, including 5 mice whose pregnancy occurred in middle-age (p=0.005 when comparing with CTRL or young Dnm2 het mice) and 2 non-pregnant older mice, showed physical signs of distress with markedly reduced activity, poor grooming, ruffled furs, and hunched posture. Both non-pregnant sick mice showed a marked decrease in Ly6G positive mature neutrophils at 0.3% of total marrow cells (Figure), and the bone marrow from one mouse was completely effaced by immature myeloid precursors, consistent with the development of acute myeloid leukemia. In addition, a third of Dnm2 hetmice showed no distress but displayed morphological bone marrow abnormalities including megakaryocytic dysmorphology.
In summary, female mice with loss of Dnm2 in the hematopoietic compartment develop persistent neutropenia as they age, with decreased granulocyte progenitor production and with migration defects. These abnormalities are associated with a risk for developing megakaryocytic dysplasia, and acute myeloid leukemia. These findings might also suggest a mechanism for chronic idiopathic neutropenia, which has a predominance in middle-aged women.
No relevant conflicts of interest to declare.
Author notes
This icon denotes a clinically relevant abstract
